Lower Blepharoplasty

A model woman with side view holding her cheek

Changes to the under-eye area can be some of the most impactful on the face’s overall appearance. Wrinkles, lost volume, and unevenness can all contribute to an aged, tired appearance despite feeling nothing of the sort. Dr. Ko is proud to offer patients a solution via lower blepharoplasty in Reno. Each personalized blepharoplasty procedure at Nevada Eye Plastic Surgery is performed by a board-certified surgeon with a track record of results that patients love.

NEVADA EYE PLASTIC SURGERY
Front view of face of a model girl with one of her eye being marked before surgery

What Is Lower Blepharoplasty?

Also called lower eyelid surgery, this procedure is a type of oculofacial surgery to improve the appearance of the area under the eye. As the body ages, the lower eyelid and under-eye area can show changes quite early on. Some of the most common concerns that patients can address with lower blepharoplasty include:

  • Wrinkles and fine lines
  • Lower eyelid malposition
  • Asymmetry to the lower eyelids
  • Loss of under-eye volume
  • Thinness (crepe-like) skin
  • Under-eye bags or dark circles

Key Benefits

Working with the right surgeon is a key step to seeing the best outcomes possible for your lower blepharoplasty. Dr. Marcus J Ko is double board certified and has a track record of proven results. But most importantly, he works closely with each patient to understand their needs. By creating adaptive treatments, he can help patients achieve the benefits that are most crucial to their goals, needs, and expectations.

  • Consistently long-lasting results
  • Restore a youthful, alert appearance
  • Improve facial symmetry and balanced features
  • Incision placement ensures scars are hidden
  • Procedure plans tailored to your needs
  • Easily combined with other facial surgery
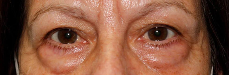
Lower Blepharoplasty Before and After Image

Overview of the Procedure

Lower blepharoplasty is a full procedure, but the overall experience is straightforward and comparatively mild. Patients will be informed about each detail of their procedure ahead of time, as different aspects can change to meet their needs. The procedure begins with patients receiving anesthesia. In most cases, we use general anesthetic, allowing patients to remain unconscious for the entire procedure. If so, the anesthesia is administered by a board-certified expert to facilitate a safe experience. However, some patients may require only local anesthetic for a pain-free procedure.

Dr. Ko then completes each step of the surgery according to your personal surgical plan. This involves creating incisions, repositioning tissues, adjusting pockets of fat, or other techniques. Finally, the incisions are closed. The surgery lasts about 1 to 2 hours for most patients, though this can vary. For example, combined or more complex procedures may take longer. Dr. Ko will provide a timeline for your surgery according to the tailored elements. After resting for a brief time afterward, patients can then return home with someone who will drive them.

How Does Dr. Ko Personalize Surgery?

Each patient has a unique set of goals and needs, which need to be taken into account when adjusting the unique structures of the lower eyelid. As a surgeon certified by the American Board of Ophthalmology, Dr. Ko has comprehensive knowledge of the eyelid’s delicate structures. This allows him to further adapt each procedure, creating impressive results with the smallest amount of adjustment to the delicate tissues and structures.

Patients can also combine procedures, resulting in further cosmetic improvements. However, combining procedures takes extra care and experience to create results that look natural and are balanced with each other. Some popular combination options include:

Before & after

Lower Blepharoplasty Before Image
Lower Blepharoplasty After Image

Recovery Timeline

The more effective your surgeon is, the smoother your recovery should be. However, each patient is unique, and various factors can impact healing. Still, a general outline of the recovery period is outlined below.
Weeks 1–2: During the first week or two, patients will need to avoid any work and strenuous activity (this is called downtime). Instead, the focus is on resting and allowing the body to heal. Patients will normally have some swelling, discomfort, and bruising during this period.
Weeks 3–6: Dr. Ko will see you for a follow-up appointment to track your healing and the progress of your results. He will provide additional info as needed. Most swelling and bruising will gradually fade, and patients can begin returning to work and then do mild exercise.
Week 7 and Beyond: With doctor approval, patients can fully return to their complete routines.

When Can You See the Results?

Initial results can be seen within a couple of weeks once the main swelling and bruising fade. Following that, patients can enjoy their refreshed appearance as they gradually return to their normal routines. Some residual swelling and tissue settling can take several more months, after which patients will have their final results. Still, you will look refreshed in the period leading up to your final results. Maintaining results well can involve following a healthy lifestyle and avoiding factors that age the skin (e.g., smoking, excess sun exposure).

Front view of face of a model girl
NEVADA EYE PLASTIC SURGERY

Book Your Consultation

Learn more about our cosmetic procedures and start on your path toward a rejuvenated appearance today. When you book your consultation for eyelid surgery in Reno with Dr. Ko, you can fully discuss your goals in a one-on-one meeting with a leading oculofacial surgeon. We look forward to helping you look your best through personalized lower blepharoplasty near you.

SCHEDULE A

CONSULTATION